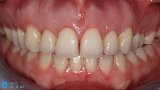
Before & After Photos A Gummy smile case Before picture of a “Gummy Smile” PRE-OP: Markings of provisional new gingival margin position prior to incisions POST-OP: Final Results after Gingivectomy