Patient Presentation
- 55 year-old man
- Chief Complaint: “I want to repair my gums”
- No medication
- Penicillin allergy
- Medical history non-contributory
A 55-year-old man presented with a chief complaint of “I want to repair my gums”. The maxillary teeth had previously been treated with Class V composite fillings in order to cover up the recessions present. The patient had acceptable periodontal hygiene and came for his checkups every 3 months. Gingival recession had several causes, including traumatic brushing, a thin gingival biotype, dental plaque and improper positioning of teeth in the arch. The concealment procedures can help patients in terms of aesthetics, have better oral hygiene and, in some cases, can also reduce root sensitivity.
Clinical Findings
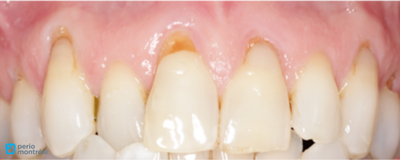
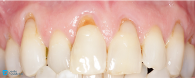
Before picture of gingival recession
- Multiple Class V composite lesions, some being defective
- Gingival recession ranging from 2 to 6 mm
- Adequate keratinized gingiva
This patient exhibited multiple lesions associated with gingival recession. Initial recession values varied from 2 mm to 6 mm and keratinized gingiva was adequate. Teeth #15 to 25 were treated.
X-RAY Observations
The X-rays below show a slightly diminished bone level and thus Class 3 gingival recession in the Miller* Classification (anticipation of partial root coverage).
Diagnosis
- Multiple mucogingival deformities associated to recession
Treatment Plan
- Initial phase (scaling and oral hygiene advice)
- Root coverage graft with Alloderm on the maxillary arch
- 3-month maintenance
The Alloderm matrices come from the skin of human donors from which the epidermis and some cellular components have been removed. The dermal part is then treated to eliminate viruses and bacteria and reduce the risk of rejection. The benefits of this tissue include: treatment of recession, the ablation of root restorations, at times also treatment of root hypersensitivity, elimination of a second surgical site (the palate), the possibility of covering a large area (even a complete arch since an unlimited amount of material is available) and a very aesthetic result, as the graft mixes well with the adjacent gingival tissues.
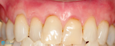
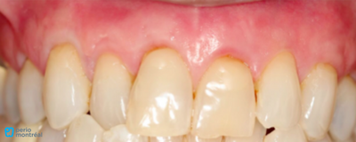
Pre-Op and Post-Op Pictures
- PRE-OP
- POST-OP
Final result
The key to success with Alloderm is to have proper primary closure and an absence of tension in the mucoperiosteal flap.
The final results after 2 years show the root coverage obtained and the stability of gingival tissues over time. Post-operative recession ranged from 0 mm to 1 mm. The patient was satisfied with the aesthetics and did not want new Class Vs.




