Patient Presentation
- 25 year old female
- Dental student at the University of Pennsylvania School of Dental Medicine
- No medications, no known drug allergies
- Medical history non-contributory
- Chief complaint of “I bit in to a peach and caused this recession”
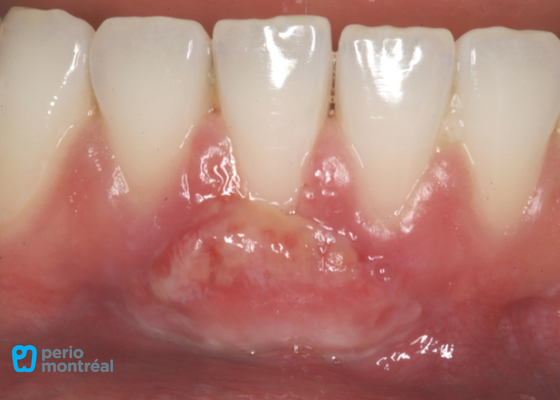
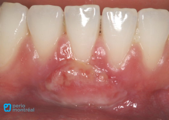
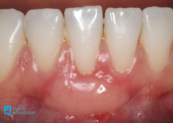
This patient “L.P.” presented with a chief complaint of “I bit in to a peach and caused this recession”. There is a Miller Class II recession defect on tooth #41 with a lack of keratinized tissue. The patient reports mild sensitivity to brushing.
Clinical Findings
- Miller Class II recession tooth #41
- Lack of keratinized tissue #41
Diagnosis
- Mucogingival deformity associated with recession and a lack of keratinized tissue
- Plaque induced gingivitis
- Mucogingival deformity #41
Treatment Plan
- Initial therapy (scaling and oral hygiene instruction)
- Re-evaluation (3-4 weeks following)
- Free Gingival Graft #41
- 6-month recall
The free gingival graft is generally not the most predictable treatment to achieve root coverage. In this case, however, the narrow recession defect, coupled with the lack of keratinized tissue, lent itself to an FGG being used to kill two birds with one stone. The patient was advised that the principal goal of the procedure was to create a solid band of keratinized tissue, with root coverage being the secondary goal.
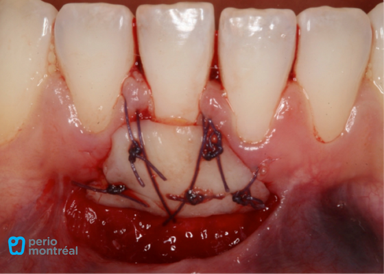
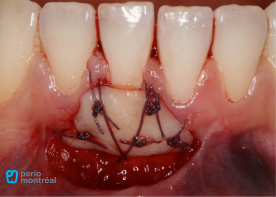
The recipient site is prepared following root planing of tooth #41 to decrease the root convexity. The donor tissue is harvested from the right palate.
Graft Sutured at Recipient Site, Palate Treated with a Hemostatic Agent and Sutured
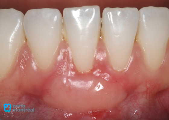
1 Week Post-Op
1 Month Post-Op
Pre-Op and Post-Op Pictures
- PRE-OPÉRATOIRE
- POST-OPÉRATOIRE
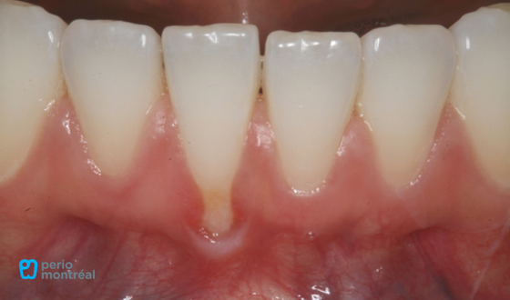
Final result
Our primary goal of increasing the width of keratinized tissue is achieved, and we are able to get almost 100% root coverage as well in one surgical procedure. Both the patient and surgeon were very happy with the result!









